Orthodontic
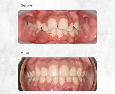
At Presidental Care, orthodontic treatment is provided by Dr. Wisniewski, our experienced orthodontist in NYC. We offer braces and Invisalign clear aligners in Manhattan and Queens, helping patients of all ages achieve straighter teeth, proper bite alignment, and confident, healthy smiles.
Dr. Wisniewski is known for the individualized care she brings to every patient, creating a calm, supportive environment where children feel safe, understood, and confident in their dental care.







Contact
Reach out for appointments or questions.
© 2026. All rights reserved.
Email: info@presidentalcare.com
Phone: (212) 221-3691
Manhattan
Queens
Phone: (646) 723-2060
Email: regopark@presidentalcare.com
