My WordPress
(212) 221-3691
526 7th Avenue New York, NY 10018
(646) 723-2060
9544 Queens Blvd Rego Park, NY 11374
Home
Location
Manhattan
Queens
Our Doctors
Dr. Jessica Figueroa
About
Our Life
New Patients
Smile Gallery
Testimonials
Services
Dental Crowns
Endodontics
Esthetic Restorations
General Check-Ups
Implant Dentistry
Clear Aligner
Nitrous Oxide
Oral Surgery
Periodontal Treatment
Teeth Whitening
Veneers
Patient Info
Patient Forms (Manhattan)
Patient Forms (Queens)
Blog
Contact
X
Book Queens
Book Manhattan
Book Appointment Manhattan
Book Appointment Queens
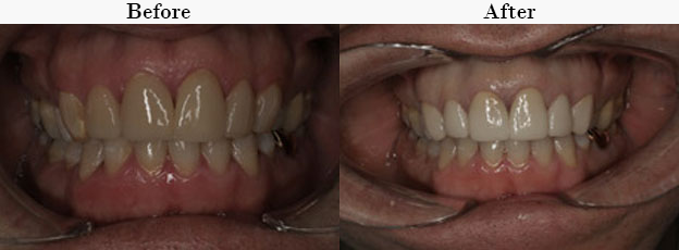
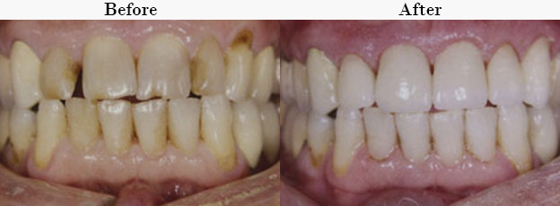
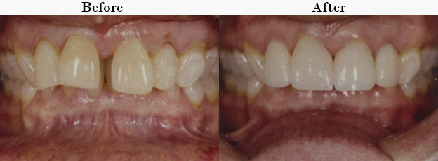
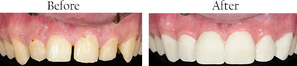
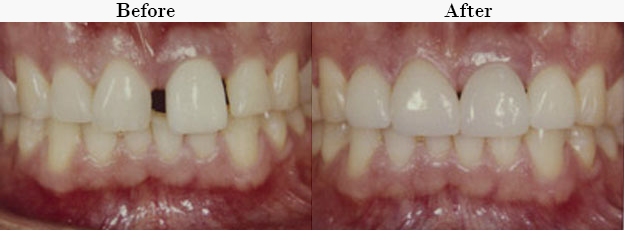
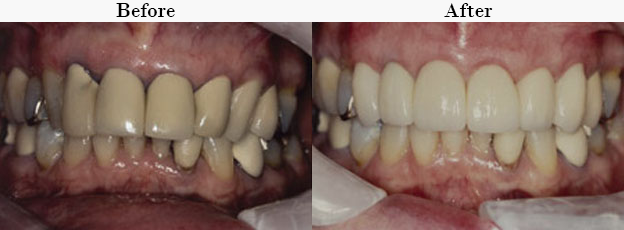
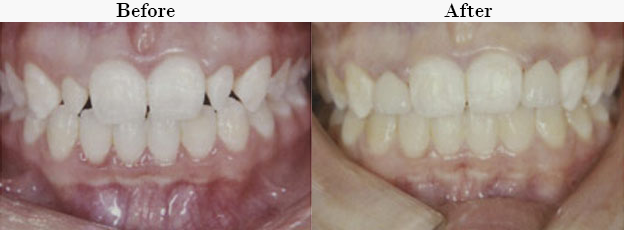
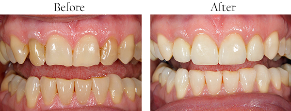
Smile Gallery